
No more messy impressions or temporaries that fall off.
No more waiting 2-3 weeks for a lab.
No more return visits.
Get the best fitting and most natural looking restoration possible.

Watch your restoration being created using our
state-of-the-art CEREC CAD CAM system while you wait!
Introducing CEREC Primescan creating SAME DAY crowns, onlays, veneers and bridges! No more messy impressions or temporaries that fall off while you wait 2-3 weeks for the lab to create your restoration. With Primescan, you walk out the door the same day with your beautiful all porcelain tooth!






Creating your restoration requires precise skill to assure proper fit, anatomy, and use of quality materials.

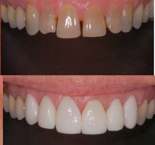
Veneer is a thin shell that is bonded to the front of the tooth. Veneers are used to correct shape, size and color issues.
For added strength, we can also do a hybrid crown/veneer where the shell is then wrapped around the edge of the tooth and not just covering the front of the tooth.


CEREC Primescan - Digital dentistry at it's finest!
Copyright © 2021 Water Garden Dental - All Rights Reserved.
NOTICE
Our Dentists are licensed & regulated by the Dental Board of California (877) 729-7789 ww.dbc.ca.gov
NOTICE
Our dental hygienists are licensed & regulated by the DENTAL HYGIENE COMMITTEE OF CALIFORNIA (916) 263-1978 WWW.DHCC.CA.GOV
California Online Privacy Protection Act - CalOPPA rules followed with this website. This website does NOT collect or store any personally identifiable information.
We use cookies to analyze website traffic and optimize your website experience. By accepting our use of cookies, your data will be aggregated with all other user data but never shared.